Q: When you think of orthodontics, what’s the first thing that comes to mind? If you’ve ever had braces before, you may remember not getting to eat some of your favorite foods like popcorn and hard candy, or maybe you remember your orthodontist always hounding you about wearing your rubber bands. Chances are, though, that when you think of orthodontics, you think of the end result: your smile. While orthodontics certainly plays a key role in achieving a perfect smile, braces can also be beneficial to your overall health and wellness!
Here are a few benefits of braces that can have a major impact on your health:
Decreased Oral Disease
As your teeth straighten, deep crevices that harbor harmful bacteria are diminished. Without orthodontic treatment these ‘hiding places’ can allow for food to build up. This buildup can turn into plaque, cavities and eventually form into periodontal disease if not treated. Straightening your teeth allows for your entire mouth to properly align and these “plaque harbors” to change and improve.
If left untreated, gum disease (characterized by bad breath, red and swollen or bleeding gums, heightened sensitivity and painful chewing) can cause health problems that go far beyond the mouth. Researchers have linked gum and periodontal disease to heart disease, heightened blood sugar, and preterm deliveries in women.
Preventing gum disease through proper orthodontic treatment keeps your health in tip-top shape! Below is a comparison of a healthy tooth versus a tooth that has been affected by periodontal disease.

Jaw Issues
There is a popular movement in dentistry today that promotes the straightening of teeth without addressing the way the teeth bite together. Granted, neglecting to fix the bite allows your braces treatment to finish faster. However, making sure the bite fits together in harmony is very important. Throughout your orthodontic treatment, we take measures to not only straighten your teeth but align your bite and jaws as well. This is definitely for good reason.
Misaligned teeth can cause stress on the jaw, which over time can lead to dysfunction of the Temporomandibular Joint (The TMJ or “Jaw Joint”). Misalignment of the teeth is also known as malocclusion. Fixing malocclusion allows your bite pattern to improve and keeps teeth from wearing down unevenly. Additionally, without proper jaw alignment, your teeth may eventually weaken and be more susceptible to chipping and breaking off, which can lead to infections and extraction of teeth.
Orthodontic treatment can prevent you from a variety of pain that can be caused when these issues go untreated.
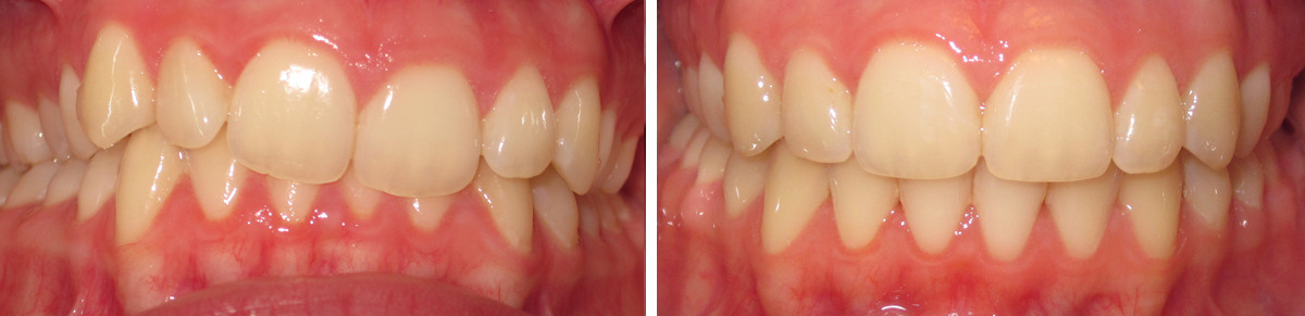
Below is a before and after example of teeth with malocclusion. This patient likely experienced chewing difficulty and would have experienced progressively weakened and worn teeth, had the misalignment not been corrected.

Injury and Other Health Risks
In addition to correcting jaw alignment, it’s also important that the bite is corrected to avoid any protruding front teeth (“buck teeth”). Lack of correction, especially in children between the ages of 6 and 10, can be potentially hazardous. Young children involved in high-contact activities such as sports are especially at high risk.
In addition to sports injuries, studies have shown that an improper bite causes improper chewing which can lead to bigger problems such as poor digestion and poor nutrient absorption. There can also be a higher risk of reflux in swallowing larger bites, which can affect the stomach lining and tooth enamel.
Treatment with braces helps correct these problems, allowing for an overall healthier you.
As you can see, braces provide significant improvements to your health. In addition to these health benefits, the confidence and improved self-image provide a psychological gain that is priceless.
Have you discovered health benefits during your time in braces? Have a question on what to expect? Leave a comment for us below, or use our quick-and-easy contact form to schedule your free orthodontic consult!