Have you signed up for spring sports yet? Soccer, softball, baseball, dance; there are endless options for children, teens, and adults to get moving once the weather starts to warm up. If you’re old like me (and yes, 30 qualifies), you might not be as active in organized sports anymore, but maybe you can’t wait to ride your mountain bike or play a little Ultimate Frisbee with some friends. As spring and summer come along, we are all for getting outside and staying active.
As an orthodontist, one question I get all the time is “Can my child safely play sports while wearing braces?” It is an important question for kids, but it also applies to adults wearing braces. After all, activities like mountain biking and Ultimate Frisbee present potential risks to your teeth, especially with braces on. So, to answer the question – is it safe to play sports with braces on? Yes – you can wear braces and play sports. The real question is how?

Protecting Your Smile
Protecting your smile while playing sports is essential to staying on course with your braces treatment plan. We frequently have patients who are afraid that having braces will mean giving up on something they love, or that they will be limited in their sport of choice when it comes to braces. For braces patients playing sports, we recommend that they use an orthodontic mouthguard to protect their mouth from any potential injury. With the use of a proper orthodontic mouthguard, any contact sport can be played with braces. Even in light contact sports such as baseball, a mouthguard is a good idea to protect the smile you’re working so hard for.

Sergio wore his soccer gear to almost every visit and he successfully (and safely) completed his orthodontic treatment while rocking it on the field.

What is an Orthodontic Mouthguard?
An orthodontic mouthguard is made from silicone and cushions your lips from bumping against your teeth. It also protects your brackets and softens the impact from any contact that could damage how the braces adhere to your teeth. Orthodontic mouthguards are typically larger than more common, non-orthodontic mouthguards in order to have extra space for the braces to fit. But, don’t worry. Just because an orthodontic mouthguard is larger, doesn’t mean that it is any less comfortable. We have had several patients report that their orthodontic mouthguard was actually more comfortable than their old, traditional mouthguard.

In contrast to an orthodontic mouthguard, a normal mouthguard is made of hard plastic, and should your mouth get hit, it can cause serious damage that requires extra office visits, extra time added to your treatment, and even irreversible damage. Most non-orthodontic mouthguards also won’t fit as well as orthodontic mouthguards, or might not fit at all.
So what about the popular boil-and-bite mouthguards? I must admit. Boil-and-bite mouthguards are pretty cool. It’s a quick and cost-effective way to get a “custom” mouthguard. However, while a boil-and-bite mouthguard might fit initially, once the teeth begin to move, this type of mouthguard will no longer fit. This is why an orthodontic mouthguard is still the best choice.
You can pick up an orthodontic mouthguard at every major sporting goods store or we can order you one at our office.
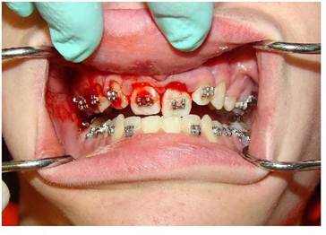
What Happens If I Get Injured While Wearing Braces?
If you currently wear braces and get hurt while playing sports, it’s best to give our Germantown office a call. From there, we can recommend whether an emergency appointment is necessary. I’m not trying to scare you with the following photo, but this is what can happen if an orthodontic mouthguard isn’t worn: broken brackets, bleeding gums, and even fractured teeth. It ain’t pretty.

At your next visit, we will check for any broken appliances (including your mouthguard) and fix anything that requires attention.
So, what’s your favorite sport? Have you found it difficult to adjust to wearing a mouthguard? Share below or comment over on our Memphis Braces Facebook page.