The holidays are long gone, and if you’re like me, it’s crazy to think we’re already 40 days into 2016. In addition to helping Memphis embrace their new smiles, I’ve spent the last few months attending several professional conferences, speaking at others, and learning from the best in the industry.
Thinking about all the topics that get covered each and every day inside an orthodontic practice is astounding. To break down the basics, here are what we consider to be the ABCs of Orthodontics. These are some of the most important things you need to know about orthodontic treatment.
A – Adults get braces too!
Orthodontics isn’t just for kids and teens. Many adults, including some parents of our younger ortho patients, want a better smile too, and we are happy to help. For adults who are concerned about the appearance of traditional braces, we offer Ceramic Braces, Invisalign and Lingual Braces (see the letters C, I and L below for details on those treatments!).

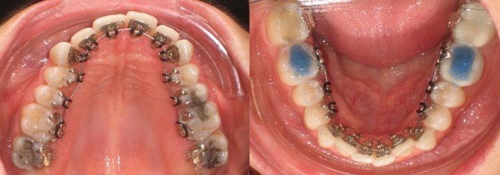
B – Brackets
Brackets are the metal or ceramic pieces bonded directly to your teeth. Brackets are connected to the bands, and they hold the wire in place.
C – Ceramic Braces
Ceramic braces consist of tooth-colored brackets, wires and ties that allow for inconspicious orthodontic treatment. Ceramic braces are a great option for teens or adults who want to avoid the appearance of traditional metal braces but achieve the same excellent results.

D – Dr. Kyle Fagala
That’s me, your Memphis orthodontist! As a graduate of Harding University, I attended dental school at the University of Tennessee and completed a 3-year residency program at the UT Department of Orthodontics. I am passionate about providing the highest-quality Memphis braces and orthodontic treatment, and I always enjoy getting to know all of my ortho patients and their families.
E – Emergency Care
Hopefully you won’t need emergency care! But we understand that accidents happen, and we’re definitely here to help. Please visit our emergency care page here on the website for detailed advice on mouth sores, protruding wires, loose brackets, and more, and don’t ever hesitate to give us a call if something isn’t right. Many times, Dr. Fagala will need to make adjustments if your braces are damaged, so keep us informed if something gets loose or lost.
F – Floss Threader
This tool helps you to run floss under the wire of your braces. Flossing might be a little more difficult with braces on, but it’s definitely still important to do it every day! Luckily, a floss threader can help. Ask us how to get one if you don’t have one already.

G – Gums
When you first get your braces, your gums can be a little sore until they get used to the appliances being there. After that, if you experience swelling, it could be from plaque buildup, which means you need to be a little more thorough with your brushing and flossing. Check out our blog on swollen gums for other causes and soothing remedies, and contact us with any questions.
H – Healthy Smile
Patients choose orthodontic treatment not only to get straight teeth and an aesthetically pleasing smile, but also to improve their dental health. Correctly-aligned teeth are easier to keep clean, and they also chew food more efficiently than overly crowded or unevenly spaced teeth (which benefits digestion).
I – Invisalign
Invisalign treatment includes a series of clear, plastic aligners that gradually move your teeth to the position your orthodontist prescribes. The best part is, they’re – you guessed it – invisible! No one but you and your orthodontist needs to know about your treatment, and everyone else will just see your beautiful, natural smile. Check out our website’s Invisalign section for more info.

J – Jaw
Sometimes jaw growth issues can cause someone to need orthodontic treatment, and sometimes jaw pain can indicate the need for orthodontic treatment. Contact us if this is the case for you, and we can help you figure out the best treatment to resolve your jaw issues.
K – Kids’ Braces
The American Association of Orthodontics recommends that children have an orthodontic evaluation by age 7 to begin to determining if braces will be necessary and how treatment will proceed. Most of the time, kids’ braces are put on between the ages of 9 and 14.

L – Lingual Braces
Lingual braces are a concealed orthodontic treatment option for teens and adults who don’t want others to know they have braces. Lingual braces are made from gold to fit your teeth specifically, and they attach to the backs of your teeth so no one can see them.

M – Metal Braces
Metal braces are traditional braces, and they have worked well for countless orthodontic patients over the past 100 years! These days, metal braces are smaller and more comfortable than they have ever been, and they offer plenty of fun color choices too.
N – Not your Average Ortho Office
Follow @memphisbraces on Instagram and you’ll know what we mean. We aim to make your orthodontics experience the best it can be, and we have fun along the way!

O – Orthodontics
Orthodontics is…all of the above (and all of the below, and more!).
P – Plaque
Plaque is the sticky, colorless film that builds up from bacteria if you don’t keep your teeth clean, that can lead to bad breath, swollen gums and cavities. It’s even worse when it accumulates around your braces, because it can leave permanent marks around where your brackets were when you get your braces off.
Q – Questions? We have answers!
We hope you’re getting a lot of good info in this post, but we know it’s not possible to cover everything about braces in a single run through of the alphabet. Feel free to contact our Memphis office any time, and ask us any questions that might cross your mind during your appointments. We also offer free consultations for those prospective patients trying to decide whether braces are right for them.
R – Retainers
Retainers are worn after your braces are taken off to ensure that your teeth stay in their proper position. We will prescribe the type of retainer you need, and we’ll let you know how long to wear it, based on your individual case.
S – Saddle Creek Orthodontics
That would be us! Conveniently located in Germantown, TN, we offer a friendly, stress-free environment and a knowledgeable, helpful orthodontics staff.

T – Toothbrush
Toothbrushes are very important for keeping your braces and your teeth clean. As a braces patient, replace your toothbrush more frequently than you normally would because brackets can wear the bristles out fairly quickly. Talk to us about getting an interproximal brush that slips under your wire into hard-to-reach places where food can get trapped. Power toothbrushes and Waterpiks can also be helpful for brushing your teeth with braces.
U – Unbelievable Results
Check out our outstanding smile stories for before and after pictures of some of our own patients, to get an idea of the difference we could make in your own smile.
V – Very Excited to Get Started!
You might be hard pressed to find a group of people more excited about orthodontics than we are! We’re so glad you stopped by our website, and we look forward to getting to know you. Feel free to contact us for a free consultation.
W – Wire
Technically called the archwire, the wire attaches to your brackets and provides the force that straightens your teeth. Poking wires mean that something is out of place, but are an easy fix. Apply some wax and give us a call.
X – X-ray
X-rays are used to help illustrate the current position of your teeth so your orthodontist can create a treatment plan to move your teeth to their ideal positions.
Y – Youtube Video (Braces Off)
We’re just going to leave this right here: https://www.youtube.com/watch?v=N9m2O66dzLk

Z – Zoom through treatment!
The better you care for your braces, the faster your orthodontic treatment will go (and the sooner you will have straight teeth and an overall healthier smile!).
Have you been thinking about getting braces but still have questions? Our Germantown office offers free one-on-one consultations and our friendly staff can walk you through any questions you may have. If you’d like to schedule a free consult, fill out the form, or call our office at 901.878.3569.

Kyle Fagala, DDS, MDS